SERVICE 緊緻拉提
Sofwave索夫波®透過單次擊發7個高能量、平行、非聚焦技術3D超音波能量柱,容積式集中加熱,作用於真皮層。加熱範圍與深度、累積能量比電波與傳統音波更廣、更多。
獲得美國FDA拉提、歐盟CE與台灣衛福部認證三重認證,擁有卓越的臨床療效與高安全性,更有效率的讓緊緻、拉提一次到位。
Sofwave索夫波®探頭是單發輸出7排3D立體能量柱,使用SUPERB™(Synchronous Ultrasound Parallel Beam) 技術做非聚焦的容積式加熱。
有別於傳統音波的聚焦式加熱,Sofwave索夫波®的立體能量柱能擴大治療面積,並均勻加熱治療範圍。
真皮層深處-網狀層(Reticular layer)內的膠原蛋白與彈力蛋白是肌膚支撐力的來源,能夠讓肌膚保持緊實與彈性。

Sofwave索夫波®的主要作用位置於皮下1.5mm的真皮層,能精準地針對網狀層刺激膠原纖維收縮,進而促進膠原蛋白新生,提供肌膚健全支撐力。
保有傳統音波的優勢,使組織收縮,達到拉提效果。

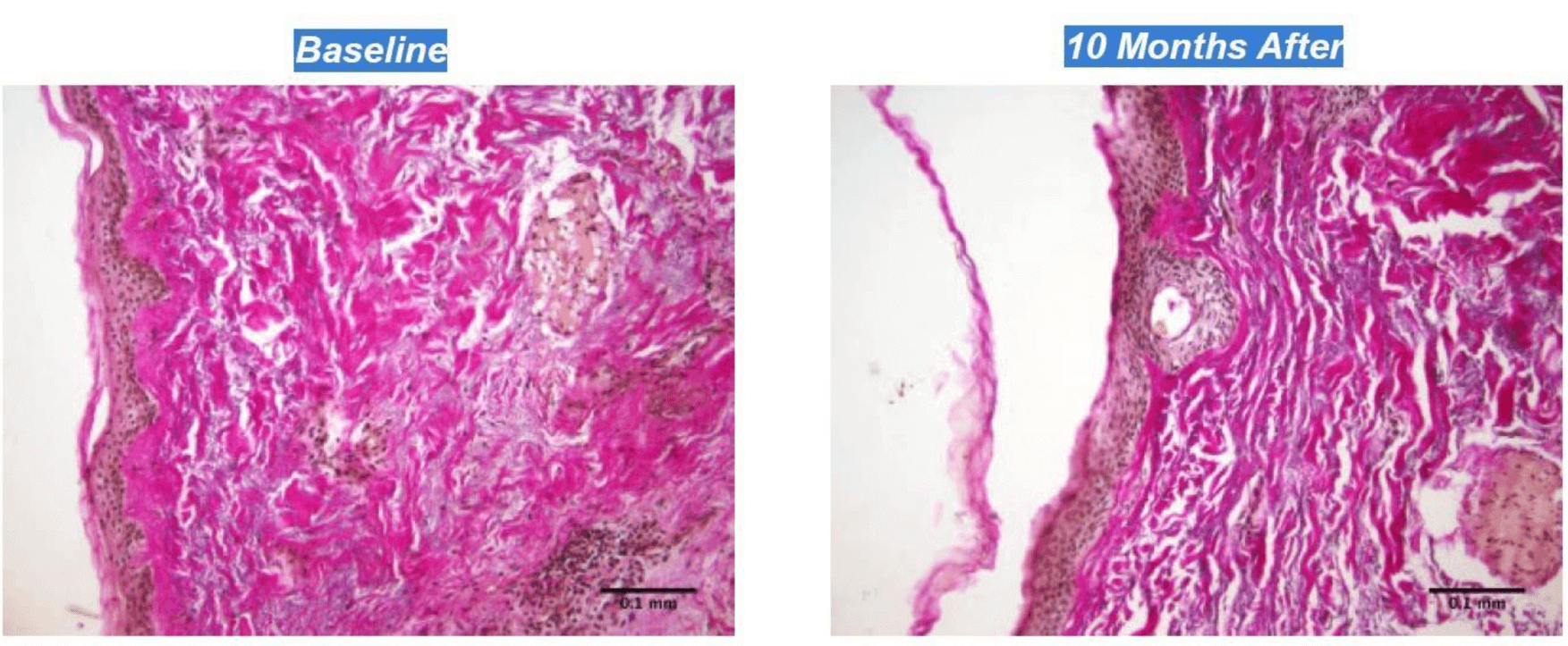
經實驗證實,Sofwave索夫波®3D超音波能量柱容積式加熱,能擴大治療深度及範圍,促進膠原蛋白與彈力蛋白新生。

單次治療後,膠原蛋白與彈力蛋白顯著增加,可以發現組織整體變的更緻密,肌膚外觀上可以變得更緊緻彈潤。
Sofwave索夫波®是屬於非侵入性療程,術後表皮不會有傷口,可立即上妝回歸日常生活。加上SOFCOOL專利技術在提供肌膚表層4°C的冷卻保護,並由智能溫控全程監控表皮溫度,療程中降低灼燙熱痛等等不適,有效提高療程安全與舒適度。
因能量集中於真皮層,不會有傳統音波的酸痛感。
Sofwave索夫波®的容積式加熱幅度,單次擊發7個3D能量柱,加上施打過程中不需要更換探頭即可調整參數。比起傳統音波、電波,可以大幅縮短療程時間,提升效率。
一般音波以高能聚焦超音波的原理,將能量聚焦在微小的凝結點上,依序逐一輸出熱能,精準治療需改善部位。
Sofwave索夫波®突破傳統音波聚焦原理,配合SUPERB™專利技術,同時輸出7排高能量超音波柱,快速累積熱能。達到更全面的膠原蛋白刺激效果。
以單極電波為例,一般以容積式加熱的方式,傳達45-55°C的溫度到皮下4.3mm深處,刺激膠原蛋白與組織增生達到緊緻效果,並搭載間歇式的冷媒噴灑系統。
而Sofwave索夫波®提供無間斷的持續性冷卻,可做更全面的保護,還能達到3D立體容積式加熱的效果,鎖定溫度於60°C-70°C之間。

綜觀以上,Sofwave索夫波®︎結合了音、電波的優勢。
緊緻與拉提,一次到位。

下顎線頸部鬆弛 鬆弛型雙下巴 臉部細紋皺紋 眼皮鬆弛
經臨床實證,療程效果顯著,不會在肌膚表面留下任何痕跡,最快一周就有感,療程三個月後達到高峰。
通過美國FDA多重適應症、拉提適應症、FDA橘皮改善
歐盟CE認證、台灣衛福部TFDA認證:“速飛威”超音波治療儀,衛部醫器輸字第035945號